

Under austenitiseringen löses karbiderna i knivstålet gradvis upp och kol och krom frigörs och kan fördelas i stålets matris. Detta möjliggör både hög hårdhet och god korrosionsbeständighet efter avslutad värmebehandling.
När en tillräcklig mängd karbider i knivstålet har lösts upp måste detta tillstånd bevaras genom att snabbt kyla stålet (s.k. kylning). Under kylningsprocessen omvandlas stålets struktur från austenit till martensit och hårdheten ökar på grund av denna omvandling.
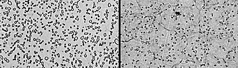
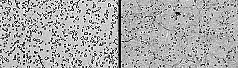
En del av den austenit som finns i knivstålet vid hög temperatur omvandlas inte vid kylningen utan stannar kvar i materialet i form av kvarhållen austenit. Restausteniten är en mjuk och seg komponent i mikrostrukturen hos det färdiga knivbladet.
Efter kylningen måste knivstålet anlöpas för att öka stålets seghet.